小型犬のよくある骨折
症例
超がつく小ささの前肢の骨折です。


写真だと拡大しているので分かりづらいですが、体重がなんと1kg!両手のひらに乗る大きさで、ネジを打ち込む骨の幅が3.1mmしかありません。5円玉の真ん中の穴ですら4.8mmくらいあります。ちょうど100円玉2枚重ねた厚さと同じくらいです。
現在使用できるロッキングプレート&ネジの最小の物でギリギリです。
関節に近いところが折れているため大変です。


トイプードル、ポメラニアン、ヨークシャーテリアなどの小型犬では写真の様に前足が折れやすいです。
昔はピンを入れたり、DCP等のプレートを挿入して治療していましたが、最近はチタン製のロッキングプレートを用いての治療が主流です。
同じように見えるプレートとネジでも以前の方式(DCP等)ではプレートを骨の形状に合わせてなるべくぴったりするように固定しなければなりませんでした。
これら旧タイプのプレートでは骨折の治癒には最も重要な骨膜を阻害してしまうデメリットがあります。もちろんこれでも治癒しますが中には難し症例もあります。
現在動物で使用できるロッキングプレートにも数種類あり、当院ではLCP、SOP、PAX、titanlockの4種類を使い分けています。


こちらの症例は2度目の骨折です。それも2回目の骨折でプレートがうまくはまっていなかったので今回ロッキングプレートにてやり直しました。
数ヶ月後にはほぼくっついています。
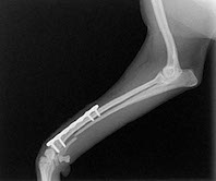
これまた小型犬の橈尺骨の骨折です。関節に近い場所なので固定が難しいです。





超小型犬の前足(橈尺骨)の骨折です。
当院ではロッキングプレートシステムを2kg以下のワンちゃんには1.2mm、
そこから体重や骨の太さに応じて1.5mm、2.0mm、2.4mm、さらには3.5mmのシステムで対応しています。
