いろんな眼の病気写真




























































































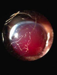
角膜の病気
網膜の病気
神奈川県川崎市麻生区の動物病院
ハルどうぶつ病院
〒215-0003
神奈川県川崎市麻生区高石
3-13-8
TEL:044-966-5157
院長 長岩慶樹
一般診療 健康診断
ワクチン接種
フィラリア予防
感染症・伝染病予防
眼の病気・椎間板ヘルニア
↑ページのトップへ | トップ | 病院案内 | 診療案内 | 健康診断 | ワクチン | アクセス | ドクター紹介 | 院長ブログ | メニュー | 椎間板ヘルニア | 日常生活 | 爪が折れてしまった | 猫の爪抜・爪とぎ | 眼の病気 | 子猫の結膜癒着 | 緑内障 | 角膜腫瘍① | 角膜腫瘍② | 第3眼瞼突出 | 乾性角結膜 | 白内障 | 進行性網膜変性症 | 眼科検査・治療器具 | 眼の病気いろいろ写真 | 内臓の病気 | 食道狭窄 | 胆石 | 肛門嚢の炎症 | 唾液腺膿腫 | 皮膚病 | 指の間の皮膚病 | 足先の皮膚病 | アカラス | 脂漏症及び脂漏性疾患 | 整形外科 | 膝蓋骨内方脱臼 | 前十字靱帯断裂 | 泌尿器 | 猫の尿道閉塞 | 犬の尿道閉塞 | 呼吸器 | 軟口蓋過長症 | 猫の鼻水がひどい | 気管虚脱 | 生殖器の病気 | 子宮蓄膿症 | 内視鏡関連 | 内視鏡機器 | 異物① | 異物② | その他の病気 | 犬回虫 | 顎の下が膨らんできた | リンク| 関連リンク
Copyright © 2026 ハルどうぶつ病院 All Rights Reserved.
〒215-0003 神奈川県川崎市麻生区高石3-13-8,044-966-5157
powered by Quick Homepage Maker 4.77
based on PukiWiki 1.4.7 License is GPL. QHM
